빠른 상담

아래 연락처를 남겨 주시면
상담원이 전화로 친절하게 상담을 도와 드립니다.
빠른 시간 내에 전화 드리도록 하겠습니다.

이름
연락처
문의내용

logo

02.2612.7528 전화상담CLICK

내 치아 같은 자연스러움

올세라믹


올세라믹이란?

올세라믹이란 치아를 완전히 감싸 덮어 씌우는 방법으로
치아가 돌출되거나 깨짐, 충치 등으로 인해 심하게 손상된 치아를 가지런하게 만들어 주는 술식입니다.
안에 금속이 들어가지 않아 투명도가 높고 광택이 있어 자연치아와 매우 흡사해서 외모적으로 중요한 앞니에 많이 사용됩니다.


잠깐 라미네이트와
올세라믹의 차이점
은?

  • 라미네이트

    치아의 표면(법랑질)을 다듬는 방식
    치아의 형태나 색상변화 가능
  • 올세라믹

    치아의 법랑질에서 상아질까지 삭제
    치아의 크기에서 형태, 색상 모두 변화가능

새롭게 태어나는 내 치아

깨진치아 올세라믹
  • BEFORE

  • AFTER

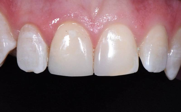
충치 앞니 올세라믹
  • BEFORE

  • AFTER


올세라믹, 이런 점이 좋다

올세라믹은 원하는 치아의 형태와 모양은 물론 색상도 맞춤 제작할 수 있습니다.
강도가 라미네이트보다 우수할 뿐만 아니라 빛을 투과하는 투명성이 있어서 실제 자연치아와 유사해 매우 심미적이라고 할 수 있습니다.
또 치열이 조금 불규칙한 경우에도 치아 교정처럼 장치를 붙이지 않고 단시간에 치료할 수 있습니다.

  • 우수한 심미성
    빛을 투과해
    자연치아처럼 자연스러운
    색상 재현
  • 개인취향에 맞춤
    원하는 치아와 형태,
    모양 색상까지
    맞춤 제작
  • 우수한 강도
    강도는 물론
    내마모성과 열전도율이
    우수함
  • 생체 친화적 소재
    매끄러운 도재로
    잇몸과 생체친화성이
    우수함

올세라믹,
이런 분들에게 추천해요

  • 1

    앞니 파절
    및 손상
  • 2

    치아의
    변색
  • 3

    배열이 안
    좋은 경우
  • 4

    앞니 사이가
    벌어진 경우
  • 5

    치아가 고르지
    못한 경우

내 맘에 쏙드는
올세라믹 치료과정

  • 1

    정밀 검사

    치료 전 검사를 통해
    환자분의 치아, 잇몸상태를 파악합니다.

  • 2

    치료계획 수립

    충분한 상담을 통해 환자분의 이미지에 맞는 치아를
    구현하기 위한 치료계획을 계획합니다.

  • 3

    치아 다듬기

    올세라믹을 접착하기 위해 자연치아를 훼손하지
    않는 선에서 치아다듬기를 진행합니다.

  • 4

    치아 디자인

    원내 기공소에서 담당 의료진과의 협의를 통해
    환자분에게 꼭 맞는 올세라믹를 제작합니다.

  • 5

    올세라믹 완성

    완성된 올세라믹을 환자분께 보여드린 후
    치아에 씌워 접착하여 올세라믹을 완성합니다.